Reklama
Tento příznak klame tělem a vypadá jako běžné nachlazení. Ve skutečnosti ale může znamenat začátek něčeho mnohem vážnějšího
| 2 min
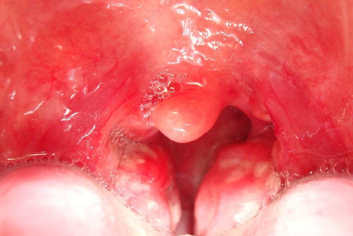
Tonzilitida je infekční onemocnění způsobené viry nebo bakteriemi. Pokud se včas neléčí, může způsobit vážné problémy nebo přejít do chronické fáze.
Tento příznak klame tělem a vypadá jako běžné nachlazení. Ve skutečnosti ale může znamenat začátek něčeho mnohem vážnějšího
Zdroj: Zdroj fotografie: Depositphotos

Letos vám nadělíme víc než Ježíšek!
Hrajte s námi o předplatné HBO, knížky i další ceny každý týden, ale hlavně o velkou vánoční výhru 15. prosince - 300.000 Kč.
Reklama
DALŠÍ ČLÁNKY z JakZdravě.cz
- Tato každodenní kuchyňská chyba se zdá neškodná. Jenže může spustit problém, který ohrozí celé tělo
- Sůl v kávě zní jako chyba, ne rada. Jenže účinek, který má na tělo, mě přesvědčil během pár doušků
- Babiččina směs pomáhala při nachlazení, bolestech i vyrážkách. Dvě suroviny v ní dokážou zklidnit tělo rychleji než léky
- Tento příznak klame tělem a vypadá jako běžné nachlazení. Ve skutečnosti ale může znamenat začátek něčeho mnohem vážnějšího
- Bolest zad i hlavy mizí během několika minut. Stačí pár nenápadných cviků, které zvládne každý přímo v kanceláři
Dva zádrhele. Expert vysvětluje, na čem se může zaseknout Babišova vláda
dnes, 10:35
Venuše mohla být pulzující planetou plnou života, tvrdí vědci. Pak ale přišla tragédie
dnes, 10:31
| 4 min
Toto je jediný správný postup, jak upéct řízky v troubě. Všechny ostatní jsou špatně
dnes, 10:30
| 3 min
AZ-kvíz trochu jinak: 10 záludných otázek, které dají zabrat i chytrákům
dnes, 10:30
| 1 min
Řidič autobusu Josef má na kontě 1,25 milionu kilometrů. V Ostravě jezdí už 38 let
dnes, 10:30
| 1 min
Reklama
Opravy ulice v Třešti jsou hotové. Do dvou týdnů začne sloužit i nové parkoviště
dnes, 10:11
| 1 min
Spláchnutím k elektřině: Chytrý vynález vyrábí energii z toalety
dnes, 10:05
| 3 min
Havlíček o Kupkovi: Na to, co si vymyslel, jednoduše nemáme
dnes, 10:02
Jihočeští studenti najdou útočiště v nových odpočívárnách
dnes, 10:00
| 1 min
Zájem o pomoc se superdávkou je v Karlovarském kraji velký
dnes, 10:00
| 3 min
Reklama
Žádosti o superdávku provází komplikace, hlásí brněnské sociální poradny
dnes, 10:00
| 2 min
Jak otevřít zabouchnuté dveře. Jednoduché triky, které opravdu fungují i bez zámečníka
dnes, 09:44
| 2 min
Chyba, která vás na jaře připraví o květy i úrodu: Přehled rostlin, které na podzim nesmíte zastřihnout
dnes, 09:43
| 4 min
„Je to pro nás neúnosné,“ říká Rosol, který znovu žádá o snížení alimentů. Ochotská je proti
dnes, 09:39
Většině čtenářů Drbny se nový vzhled hradeckého MHD líbí. Rozhodli o tom v anketě
dnes, 09:35
| 1 min
Reklama
Pohádka o kouzelných houslích a tajemné vrbě
dnes, 09:33
| 7 min
Retro kvíz na téma ikonické československé filmy: Na spoustu postav a hlášek už se zapomnělo
dnes, 09:31
| 2 min
Vysadit česnek, který koupíte v supermarketu? To není dobrý nápad…
dnes, 09:30
| 2 min
České sportovní legendy: Kvíz všeobecných znalostí o sportu v ČR
dnes, 09:30
| 1 min
Příští týden v seriálu Ulice: Válka v práci, láska bez zábran i noční překvapení
dnes, 09:29
| 3 min
Reklama
Reklama
Naskočí vám husí kůže: zapomenuté svatební snímky Marilyn Monroe, Grace Kelly a dalších ikon krásy
V Ulici to vře: Obermaierová mluví o „degradaci“, kolegyně Svobodová se postavila na stranu tvůrců
Devět brutálních vražd. Škorpion terorizoval Polsko, policie ho léta nedokázala najít
Sobota pro sebe: 10 článků, které vás pobaví a přidají los do soutěže
Reklama
Reklama